Lingualtechnik
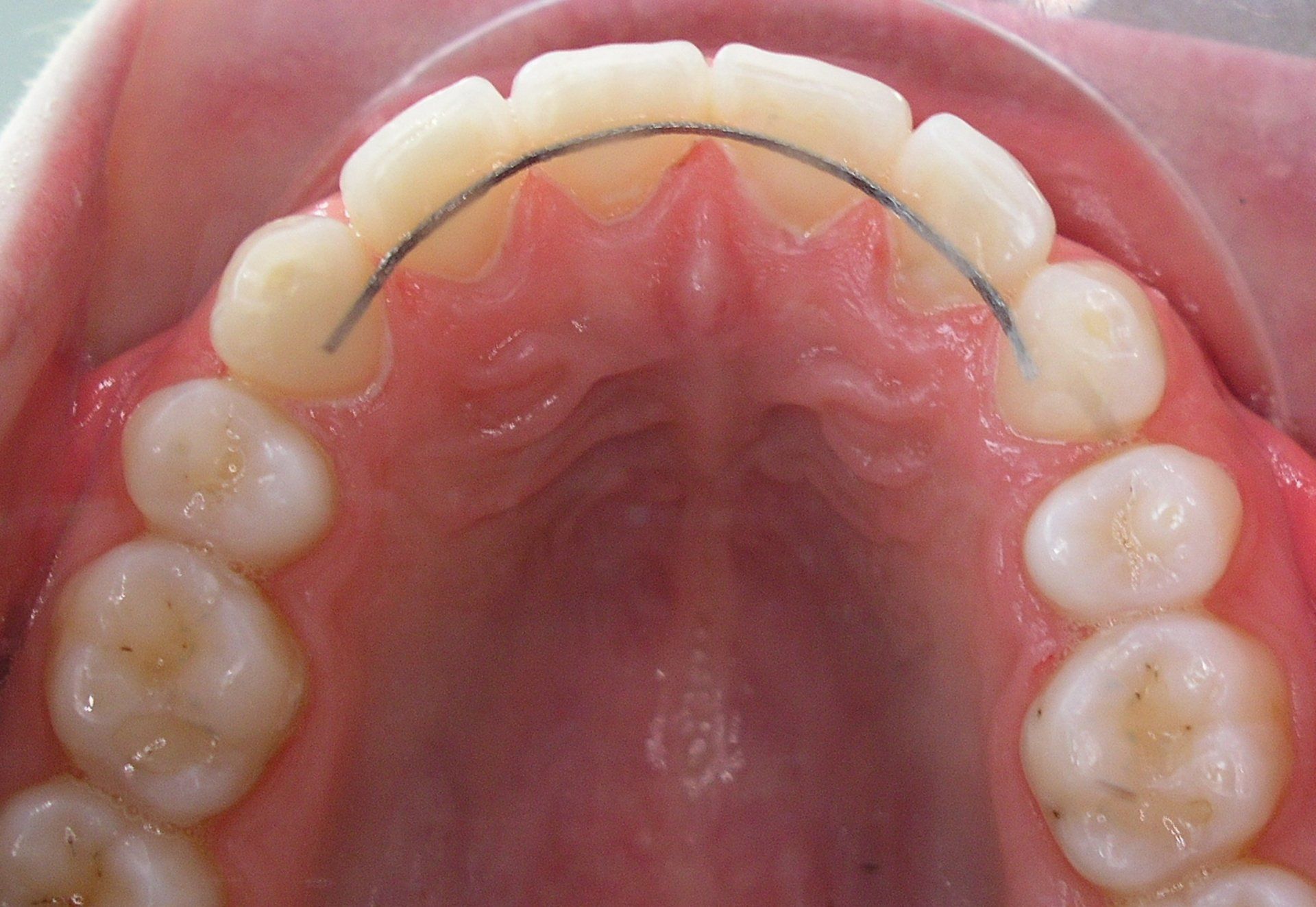
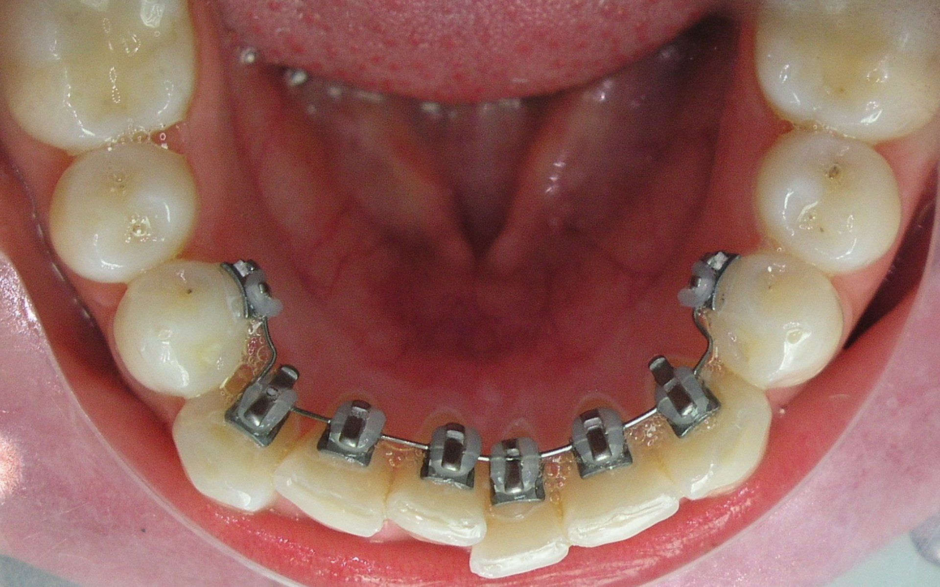
Lingualtechnik ist eine erfolgreiche Technik in der Kieferorthopädie, die vor Allem einen entscheidenden Vorteil hat: man kann von außen nichts von der Zahnspange und von der Behandlung erkennen. Die Behandlungsapparatur wird vollständig auf der Innenfläche der Zähne angebracht.
Die Lingualtechnik wurde Anfang der siebziger Jahre in Japan entwickelt, um bei den vielen Kampfsportlern Lippenverletzungen zu vermeiden. Dies gilt natürlich ebenso bei Sportarten wie Hockey, Handball oder Basketball. Später kam bei der Lingualtechnik der kosmetisch-ästhetische Gesichtspunkt dazu.
Diese Technik wird hauptsächlich von erwachsenen Patienten gewählt. Anwendbar ist die Lingualtechnik allerdings in jedem Alter.
Die Anbringung dieser Spangen ist im Vergleich zu normalen festen Spangen etwas aufwändiger. Da die inneren Oberflächen der Zähne sehr unregelmäßig sind und die Dickenunterschiede zwischen den einzelnen Zähnen sich zum Gaumen hin ausprägen, müssen die Positionen der einzelnen Brackets bei dieser Spange im zahntechnischen Labor definiert werden. Jedes einzelne Bracket wird mit einer individuellen Basis versehen, die diese Oberflächenunregelmäßigkeiten ausgleicht. Mit dem Zahnmodell, auf dem die Brackets positioniert werden, kann gleichzeitig die Behandlung simuliert, und ein Behandlungsziel definiert werden.
Die Behandlungszeit entspricht der einer normalen Zahnspange, in manchen Fällen, wie zum Beispiel bei ausgeprägt überlappenden Vorderzähnen kann die Behandlungszeit mit einer lingualen Zahnspange sogar kürzer sein. 
Ein beispielhafter Behandlungsverlauf mit einer festen Zahnspange (lingual)
(von diesem Beispiel kann nicht auf andere Behandlungen geschlossen werden)
Auf diesen Abbildungen erhalten Sie einige Eindrücke von der recht aufwändigen technischen Vorbereitung lingualer Apparaturen im Labor. Dabei werden Übertragungskappen angefertigt, die  später dazu verwendet werden, die im Labor präzise definierten Bracketpositionen auf den Zähnen der Patienten wiederzufinden.
Fragen Sie einfach in der Praxis nach!
 
  
 





