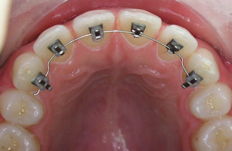
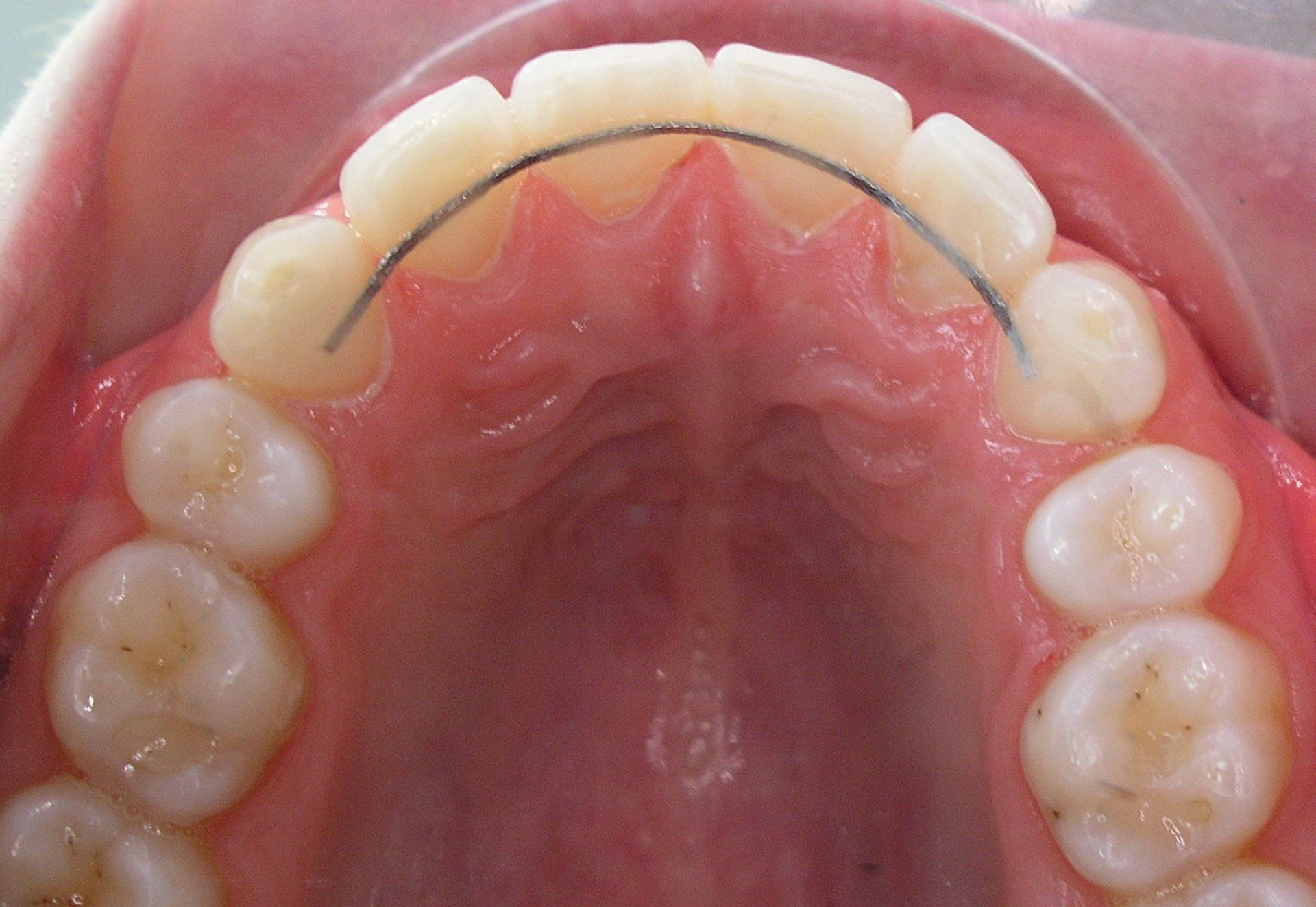
The Lingual Technique
Lingual Orthodontic Treatment is a tried and testet technique with one key advantage: the brackets and ongoing treatment is invisible from the outside. The entire treatment appliance is fitted to the inward facing surfaces of the teeth.
The lingual technique was developed in the seventies in Japan in order to avoid the numerous lip lesions of martial-artists. Naturally, this is also applicable to other physical sports such as hockey, handball and basketball.
The advantageous cosmetic and aesthetic aspects were realised later.
Usually adult patients opt for lingual treatment. Generally lingual orthodontics is an applicable for all age brackets.
Fitting lingual brackets is, however, more intricate compared to regular bracket-systems. The lingual surfaces are vastly irregular and the different thicknesses of the tooth groups are expressed towards the inside of the mouth. This fact makes it necessary to define the individual placement of the Brackets in the Laboratory. An individual Base is manufactured for every single Bracket to level out the irregularities and differences. Using the dental models for the bracket placement makes it possible to simulate the treatment progress as well as define a treatment goal.
Usually the time of treatment is equivalent to that using conventional bracket systems. In individual situations, for example in the case of a deep bite, treatment times can even be shorter compared to normal brackets.
An exemplary course of treatment using the lingual technique
(This example is not transferable to other treatments or cases)
These images give some impressions of the complex technical preparations preformed in the Laboratory. The transfer trays are manufactured which are later used to transfer the precisely predetermined bracket position to the patients teeth.
If you have any questions concerning the procedure do not hesitate to contact us anytime!
 
  
 





